Laura Dehlendorf’s right leg felt tired when she played tennis.

It was this seemingly innocuous symptom that outed her.

Dehlendorf has seen Chyke Doubeni, MD, MPH, her primary care doctor at Ohio State, for three years. She told him all about her health with one exception – her smoking history.

“I got caught,” she says, when asked about how her lung cancer diagnosis came about.

Dr. Doubeni knew as soon as she began to describe the nagging symptoms with her leg that she likely had peripheral artery disease – a condition often seen in those with a smoking history.

“By sharing that history with your doctor transparently, we can work with you,” Dr. Doubeni says. “It helps us understand your health risk, whether it’s lung cancer, heart disease or vascular disease. These are some things that we know are associated with smoking.”

Getting caught ended up saving Dehlendorf’s life.

Dr. Chyke Doubeni conversing with lung cancer patient, Laura Dehlendorf
When Chyke Doubeni, MD, MPH, learned his patient Laura Dehlendorf was a smoker, he ordered a lung cancer screening, where a cancerous nodule was discovered.

Why a history of smoking shouldn’t be hidden

Armed with that crucial information about Dehlendorf’s health history, Dr. Doubeni wanted to run additional tests.

He wanted more bloodwork. He encouraged her to undergo a low-dose CT scan to evaluate the condition of her lungs.

She had no symptoms of lung cancer – no coughing, no hoarseness and no shortness of breath.

“There is always a fear that something will be detected,” says Peter Kneuertz, MD, an associate clinical professor of Surgery.

In Dehlendorf’s case, the results came back showing a small nodule on the periphery of her left lung.

Dehlendorf diligently checked her MyChart account for updates and prepared questions for her doctors.

A bronchoscopy, which uses robotics to collect a biopsy along the outer layers of the lungs, proved the nodule was cancerous.

“All of this then accelerated the care process. When she got to the specialist, she had a good bit of the workup already done, which made the rest of it go very fast,” Dr. Doubeni says.

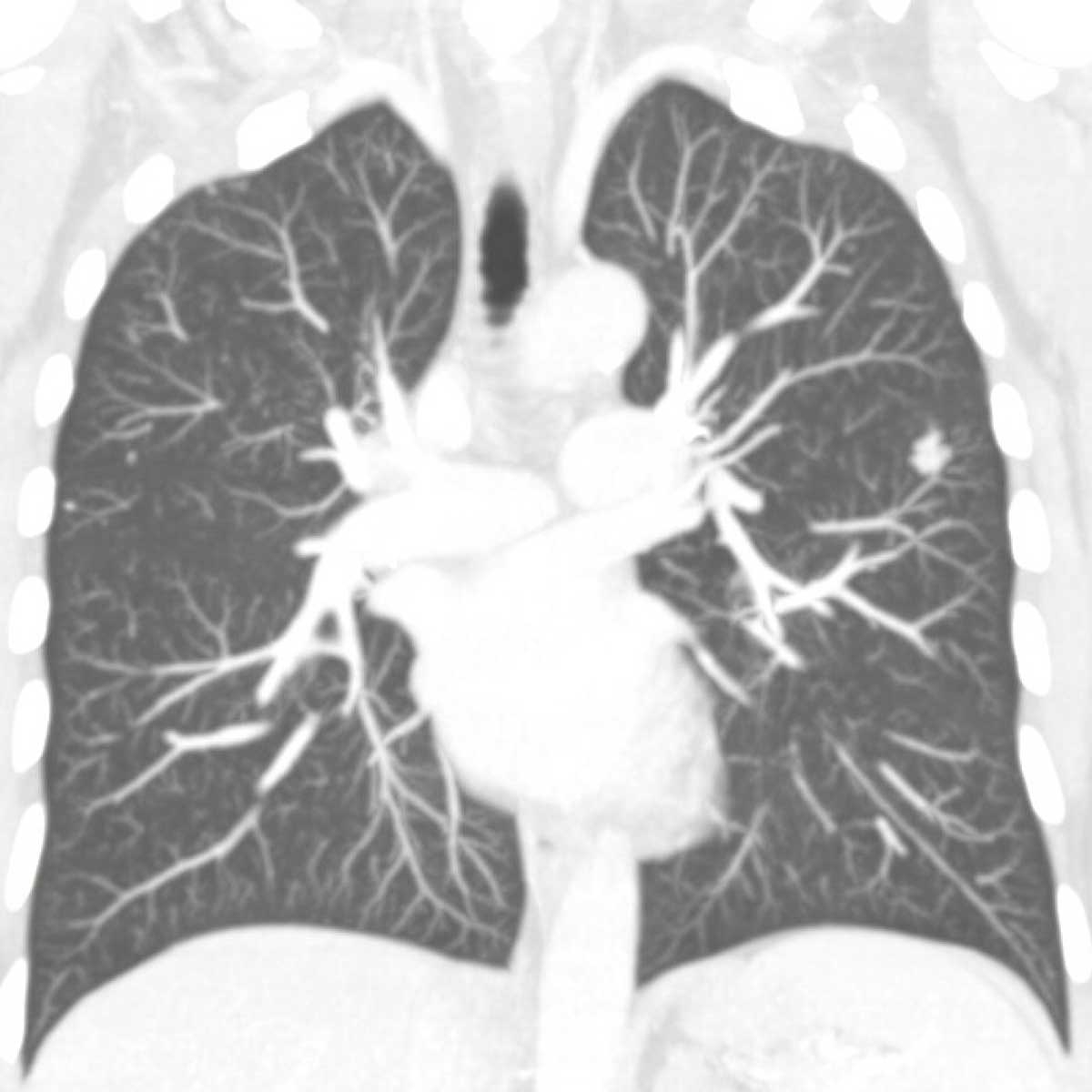
A scan image of Laura Dehlendorf’s lungs before her procedure
The lung scan, taken before surgery, showing a nodule on Dehlendorf’s left lung.
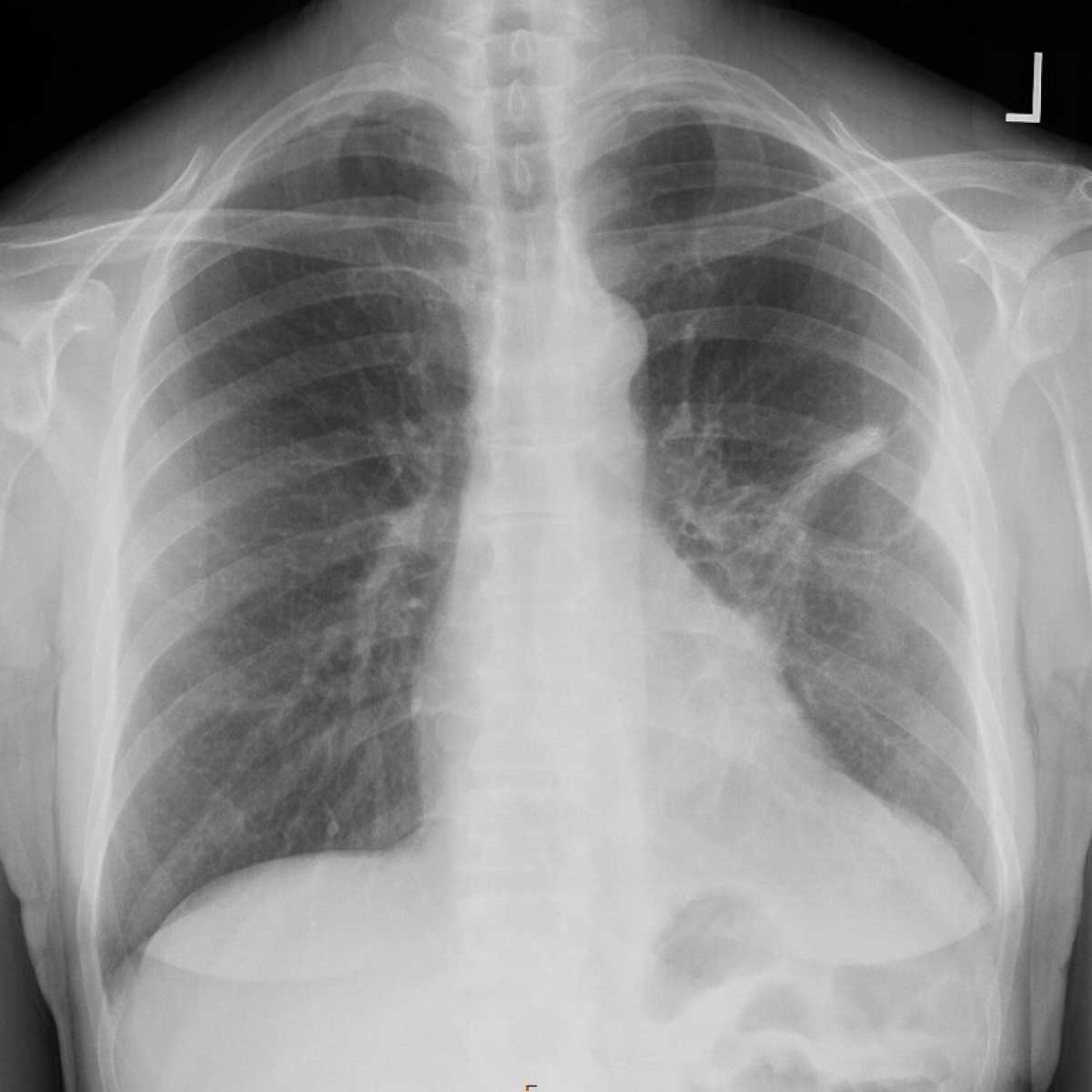
An x-ray scan of Laura Dehlendorf’s lungs after her procedure
A post-surgery scan showing the same lung with no signs of the tumor.

    Doctors are here to help – not judge

    It felt embarrassing to talk about her smoking history, Dehlendorf says.

    Lung cancer is the leading cause of cancer deaths in the United States. One of the biggest risks of smoking is developing lung cancer.

    “No one at Ohio State was ever judgmental. I thought for sure they would say, ‘Well you knew you would get lung cancer, didn’t you?’ There was none of that,” Dehlendorf says.

    Providing that crucial piece of her health history helped doctors coordinate her care.

    “Either doctors don’t ask, or patients are sometimes hesitant to provide detailed information, which means that our medical records are often incomplete about smoking history, which makes it hard to identify those we need to screen,” says Dr. Doubeni, who’s actively researching lung cancer risks and screening between urban and rural communities.

    Lung screenings are covered by insurance if patients meet these criteria:

    • Still smoke or quit smoking within the last 15 years
    • Between the ages of 50 and 80 years of age
    • Have 20 pack-years of smoking (smoked a pack of cigarettes a day for 20 years on average)
    Peter Kneuertz, MD
    Peter Kneuertz, MD, performed a robotic surgery to remove the nodule on Laura Dehlendorf’s lung.

    “Most of my patients smoke. For me, this is the norm,” Dr. Kneuertz says. “As their lung cancer surgeon, my job is to help them with smoking cessation, for which we have great resources here at The James. Not everybody is ready to do that, but if they are, we’re here for them.”

    Early detection of lung cancer saves lives

    With Dehlendorf’s stage I diagnosis, her case actively moved through the channels at Ohio State. She was diagnosed in May and in July was in Dr. Kneuertz’s operating room.

    The size of the nodule and location dictate how surgeons are able to remove lung cancer. Segmentectomy procedures, which help maintain lung function by sparing more tissue, previously required larger operations just five years ago, Dr. Kneuertz says.

    Clinical trials show that it’s safe and effective to remove smaller portions of the lung for these small tumors under two centimeters in size, he says. Almost all cases can be done with minimally invasive robotic surgery at the OSUCCC – James.

    Dr. Chyke Doubeni hugging lung cancer patient, Laura Dehlendorf
    Laura Dehlendorf hugs her primary care doctor, Dr. Doubeni.

    About 10% of Dehlendorf’s left lung was removed to get clear margins around the nodule.

    The residual lung is incredibly resilient and actually compensates, taking over the function of the segments lost to cancer, he says.

    But because of how Dehlendorf’s remaining lungs compensated, her lung function loss is more in the 5% range, which for her shouldn’t be noticeable, Dr. Kneuertz says.

    Lungs take about six weeks to heal, but patients are fully functional during that time.

    “I tell patients that there is no downtime with lung surgery. We are able to perform lung cancer surgery in patients who are over 80 years old and they do well,” Dr. Kneuertz says.

    Dehlendorf is one of the lucky ones. It’s as if she never had lung cancer. She can do everything she could do before her diagnosis and surgery.

    For many patients who don’t undergo screenings, by the time symptoms appear, the cancer could be more advanced, which may affect treatment options.

     Lung cancer survivor, Laura Dehlendorf, tending to her hydrangeas at her home
    Laura Dehlendorf is back to enjoying life after having a cancerous nodule removed from her left lung at Ohio State. Dehlendorf didn’t have any downtime and was able to return to her normal activities.

    As her primary care doctor, Dr. Doubeni encouraged Dehlendorf to get screened. Primary care doctors are often the first to run tests, discover disease or conditions and sound alarms that send patients to specialists.

    But even if your primary care doctor doesn’t push for a screening, you should, Dr. Kneuertz says, if you know you’re at risk.

    “Screening is underutilized. We’re still seeing patients initiating the screening only when they hear about it or know somebody who has had lung cancer,” he says.

    Days after her surgery, Dehlendorf was showing off her four small incision scars to friends and Dr. Doubeni and sharing her story on social media.

    “I tell everyone, if you smoke, tell your doctor,” she says.

    Dehlendorf feels grateful for how her diagnosis came about at Ohio State.

    “Six months later and this could have been a different story,” says Dr. Doubeni, pointing at Laura’s scans in an exam room.

    “You think so?” Dehlendorf asked.

    “I know so,” he says. “I’m really proud of you.”

    Lung cancer screening saves lives

    For more information about lung cancer screening at the OSUCCC – James, click the link below or call 614-293-6939.

    Learn more and schedule an appointment

    Topics

    Related websites

    Subscribe. The latest from Ohio State Health & Discovery delivered right to your inbox.

    Subscribe

    Get articles and stories about health, wellness, medicine, science and education delivered right to your inbox from the experts at Ohio State.

    Required fields

    By clicking "Subscribe" you agree to our Terms of Use.
    Learn more about how we use your information by reading our Privacy Policy.